Braces for Overbite in Westfield, IN: Your Guide to a Healthier, More Confident Smile
f you or your child has an overbite, you’re not alone—and you’re in the right place. At our private orthodontic practice in Westfield, IN, we specialize in treating overbite with braces, combining science and an artistic approach to help every patient achieve your healthiest, most beautiful smile.
Let’s walk through everything you need to know about braces for overbite, from causes and risks to treatment timelines and what makes our care truly different.
What Is an Overbite?
“Overbite” is a common term used to refer to issues with your bite, and can refer to a couple different bite issues:
1. Horizontal overlap of the front teeth:
Most often when you hear the term “overbite,” folks are referring to how much their upper front teeth stick out in front of their lower front teeth (“I have buck teeth!”). In the tooth world, this relationship is referred to as “overjet” (so as not to confuse the condition with #1 above), but we’re talking about the same thing. If you want to learn more about this type of overbite and its treatments, we dive into detail in this post!
2. Vertical overlap of the front teeth:
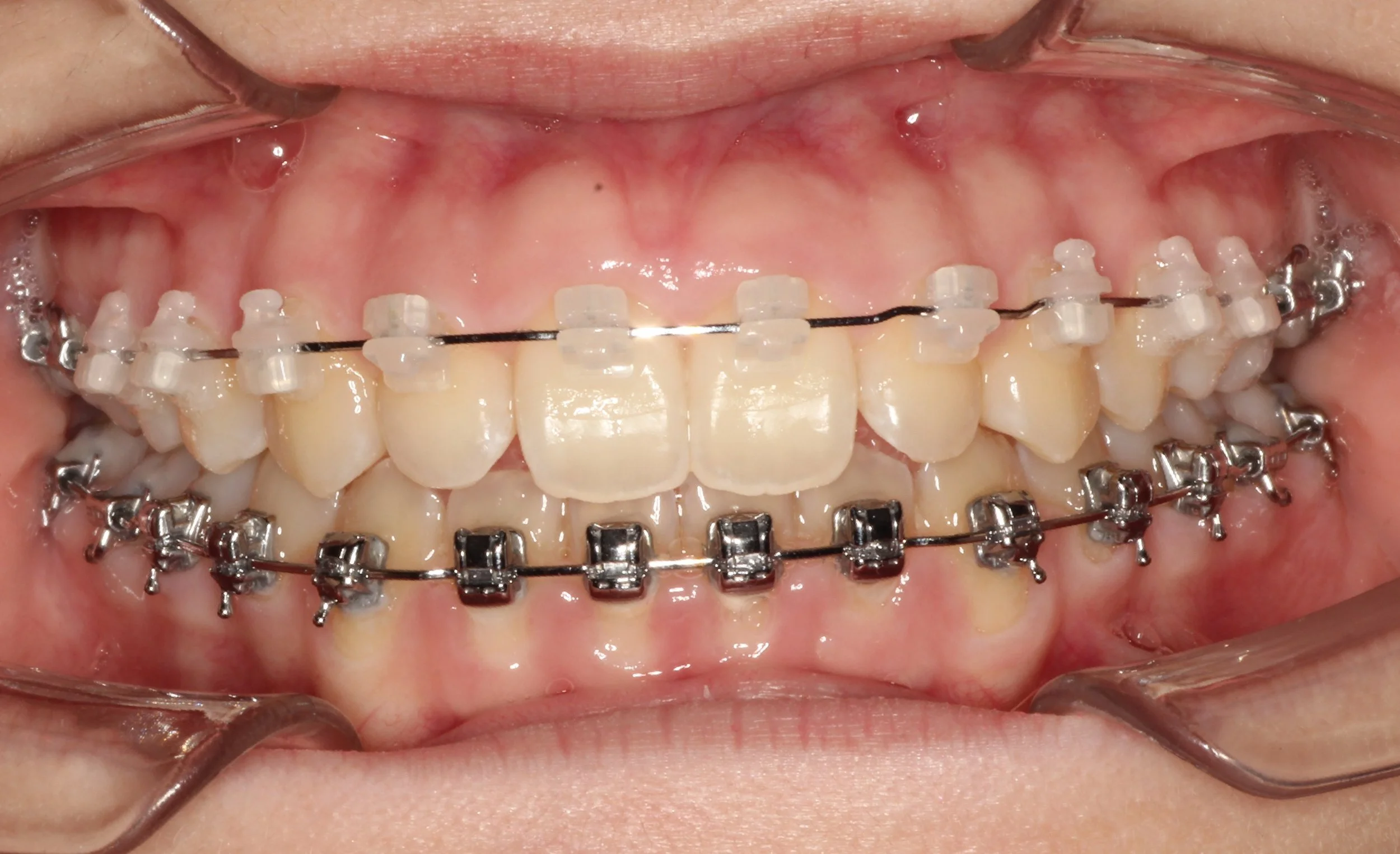
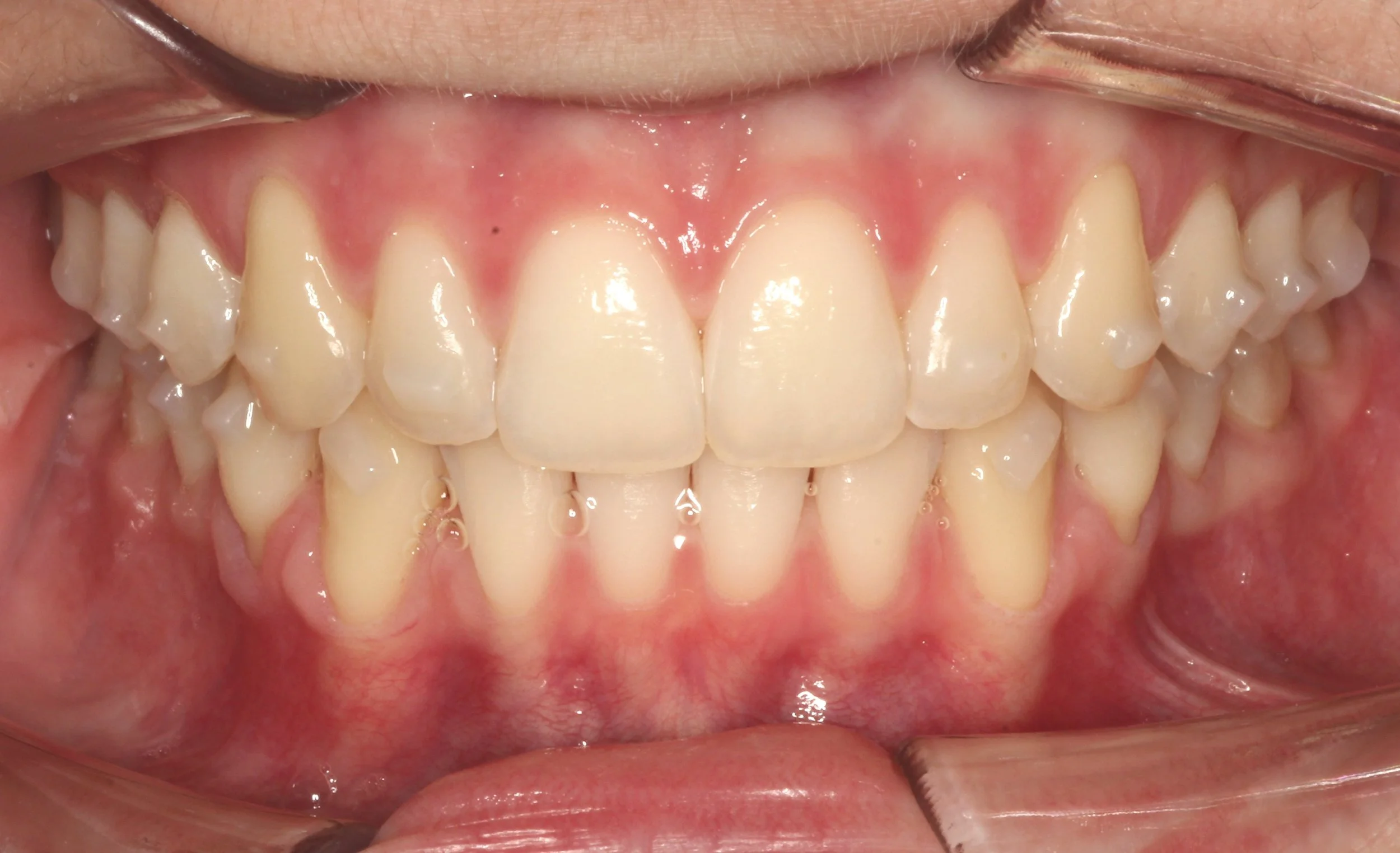
We want the teeth to overlap some, but when the overlap gets excessive, this is what is referred to as a deep bite – if the upper front teeth overlap the lower teeth too much it can cause long term issues. WE’LL FOCUS ON THIS TYPE OF “OVERBITE” IN THIS POST.
IDEAL BITE
DEEP BITE
In the tooth world, your overbite is simply how much the upper front teeth vertically overlap the bottom front teeth. The truth is, in an ideal bite, we actually WANT the upper front teeth to overlap the bottom front teeth a little bit (a couple of millimeters) – enough that when you chew and function your front teeth aren’t banging together, but instead are working together in a mutually protective way.
But if it gets excessive, it does more harm than good. A deep overbite can lead to:
Excessive tooth wear (especially of the front teeth)
Can contribute to jaw discomfort or TMJ pain
Lower teeth biting on the gum tissue on the roof of the mouth
Difficulty chewing
Long-term bite misalignment
How deep bites form:
The main causes for a deep overbite are primarily due to genetics and how the jaw & muscles grow and develop. You can’t really control its development, just need to be aware of it and protect the teeth by getting them corrected!
Why It’s Important to Treat a Deep Overbite
Many patients are surprised to learn that overbites aren’t just a cosmetic concern—they’re a functional dental issue. If left untreated, a significant overbite can cause:
Increased risk of tooth wear from how the bite comes together
Cracked or damaged teeth from bite pressure
Headaches or jaw soreness
Correcting an overbite with orthodontic treatment restores facial harmony, improves bite function, and prevents long-term dental complications. Dr. Jeffrey Lenius, our colleague and experienced orthodontist in Overland Park, KS, attests to the important protective dental health effects of treating issues resulting from deep overbites.
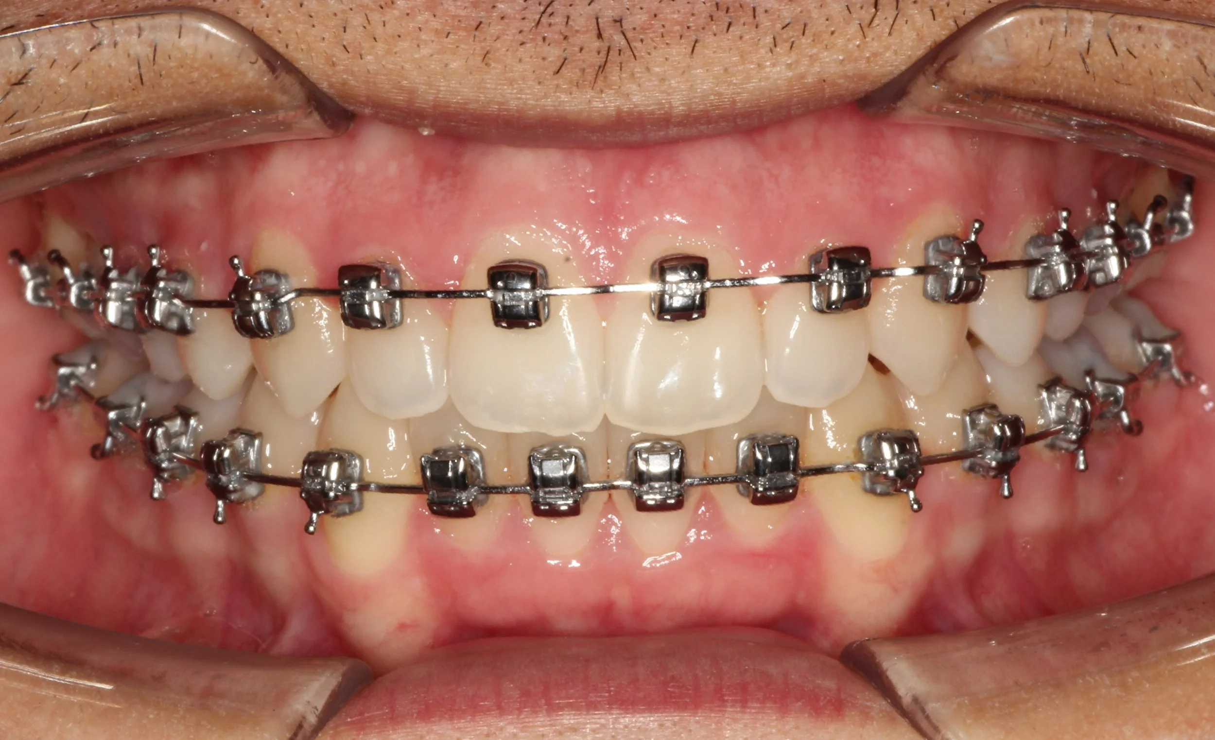
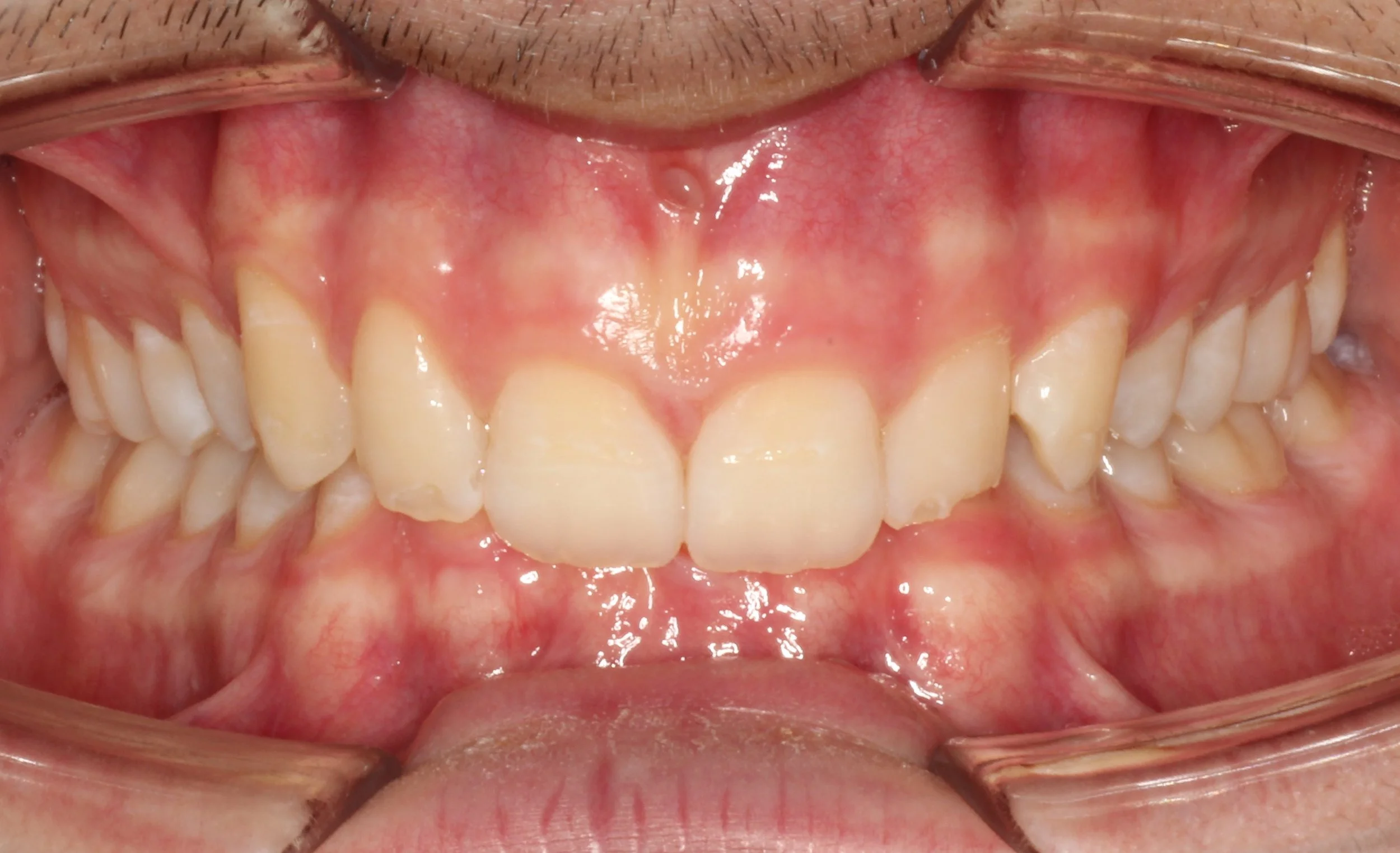
How Braces Fix an Overbite
The most common and effective way to correct an overbite is with braces. At our practice in Westfield, IN, we offer personalized treatment plans that gently and gradually shift your teeth and jaw into optimal alignment.
Treatment typically involves:
Brackets and Wires: These gently move teeth into their ideal positions.
Elastics (Rubber Bands): Sometimes we will have you wear elastics to help level your bite to get the teeth fitting together perfectly.
Retainers: After treatment, retainers preserve your new smile and bite.
Each case is unique, but most patients wear braces for somewhere between 12 and 24 months to correct an overbite fully.
Types of Braces for Overbite Correction
We understand that each smile — and lifestyle — is different. That’s why we offer multiple types of braces for overbite treatment:
1. Traditional Metal Braces
Still the gold standard for reliability and strength, metal braces are ideal for moderate to severe overbites. They’re smaller and more comfortable than ever, and most ideal specifically for deep bite correction.
2. Clear Ceramic Braces
Designed to blend with your teeth, ceramic braces offer a more discreet option while still providing the strength needed to fix overbites.
3. Clear Aligners (aka “Invisalign”)
Can Invisalign correct an overbite?? For mild to moderate overbites, clear aligners offers a nearly invisible solution using clear, removable trays. While not ideal for all bite issues, we can still get full correction for mild to moderately deep overbites. We’ll be doing a full post about clear aligners and deep bites soon!
Not sure which option is right for you? During your consultation, we’ll help you compare choices and decide on the best fit for your smile and goals.
WHEN to correct an overbite: Braces for Kids, Teens, and Adults
There are certain corrections (such as expanders for crossbites and crowding) that are best pursued during the early growth phase around ages 7-10 (if you hear of “Phase I,” it’s referring to this type of treatment).
However, other corrections (such as overbite correction) are best pursued once we have all the permanent teeth in (adolescence or adulthood).
Adolescents and Teens
Everyone has different timing for when their adult teeth come in. A deep overbite is best corrected once all their adult teeth finally erupt, a typical age range is 12-14.
Adults
It’s never too late to correct an overbite! In fact, adult patients often see dramatic improvements in both function and esthetics. Whether you're 17 or 57, we can create a treatment plan tailored to you to meet your specific needs.
What to Expect During Treatment
We make the treatment experience smooth and transparent from the first visit to your final retainer. Here’s a general timeline for braces for overbite in Westfield, IN:
Consultation & Digital Scans: We use state-of-the-art digital imaging to assess your bite and create a treatment plan.
Braces Placement (or aligners): A comfortable and easy appointment to get started.
Adjustments: We’ll see you at regular intervals to keep your progress moving smoothly and make adjustments toward your final result.
Elastics Use: We’ll instruct you on when and how to wear elastics to help shift your bite.
Final Touches & Retainers: Once your bite and smile are perfected, retainers maintain your results!
Why Choose Our Westfield Practice?
At our practice, we don’t believe in one-size-fits-all treatment. We pride ourselves on:
High-touch, personalized treatment
Artistic smile design that focuses on esthetics and function
Family-friendly, community-driven service
An experience that’s as joyful as the results
When you choose us, you're not just getting braces for overbite correction —you’re getting a dedicated team in your journey toward your best result!
Braces Cost and Insurance Coverage
Many insurance plans cover part of the cost for orthodontic treatment for overbite. We’ll help you understand your benefits and offer flexible payment plans to make treatment affordable for every family.
We’re happy to provide a complimentary consultation to review your case, explain options, and answer every question.
Looking for a Trusted Orthodontist Near Westfield, IN?
Ready to take the first step?
If you're considering braces for an overbite in Westfield, IN, now is the perfect time to schedule a consultation. We’re ready to help you uncover your best, healthiest smile—one that functions beautifully and looks amazing.
Schedule your consultation today and let us be your guide on the journey to your best smile!

