How to Get Braces Glue Off Teeth in Westfield, IN
A complete guide to what happens the day your braces come off — and how we safely polish your teeth for the most esthetic finish possible.
“Happy Braces-Off Day!”
When your braces finally come off, it’s a major cause for celebration! One of the most exciting days of your entire treatment process, you finally get to ditch your hardware and enjoy your carefully crafted smile. :) Your smile feels lighter, eating becomes easier, and you finally get to see the beautiful smile you’ve worked so hard for.
One of the most common questions we get when patients show up for their big day is: “is this going to hurt??” The short answer is, “NO way!” However, we have a couple pointers and things to know as you get ready for this milestone of getting your braces off.
Getting Braces Off
So how does it work getting braces off? If you’re searching for how to get braces glue off teeth in Westfield, IN, you’re probably remembering getting your braces on, and thinking what the reverse process might look like. After months (or years!) of dedication, adjustments, and progress, you finally get to see your new smile revealed. At our practice in Westfield, IN, we have a detailed, careful process that includes smoothing and polishing the teeth so your smile looks clean, healthy, and beautifully finished.
Braces removal (also called debonding) is a quick, painless process done entirely in-office. Read on to see the steps!
Step 1: A Quick Evaluation
Step 2: Safely removing the brackets
Step 3: Polish the remaining braces “glue” (composite/adhesive)
Step 4: Scan for retainers & Final Photos
Step 1: A Quick Evaluation
We begin with a thorough look at your teeth and bite to ensure everything is in its place and you’re ready to have them off! Once everything looks great, we begin bracket removal.
Step 2: Removing the Brackets
We use a special tool (“bracket remover”) that applies gentle pressure to release each bracket from the adhesive that was used to bond the bracket to your tooth in the first place. When the bracket pops loose from the glue on your tooth you’ll hear a small “click,” and we go through one-by-one to remove each bracket.
Most patients are surprised to find out that removing all the braces takes about a total of 20-30 seconds! It’s quick, safe, and painless.
Common question: Does this hurt my tooth in any way?
Answer: Nope! This mechanism is totally safe and designed to protect your enamel.
After all brackets and wires are removed, what remains is a thin layer of orthodontic adhesive still on the teeth...which leads to step 3 below.
Why Is There Braces Glue Left on My Teeth?
This is one of the most common questions we hear.
Orthodontic adhesive is intentionally strong so your brackets stay secure throughout treatment. That adhesive layer stays attached to your enamel when brackets come off — by design. Leaving adhesive behind protects the tooth from chipping or enamel damage during bracket removal.
But don’t worry: this glue is only temporary, and your orthodontist removes it immediately afterward.
Step 3: Polishing the Glue From Your Teeth
A small, dental-grade finishing bur gently removes the bulk of adhesive from the surface of the tooth. It does not damage enamel and is designed specifically for orthodontic adhesive. The orthodontic adhesive is much softer than the enamel, and the design of the bur makes it so that it is abrasive enough to remove the adhesive, but not abrasive enough to harm the enamel.
Smoothing and polishing
We finish by polishing the surface so that your teeth feel glassy-smooth. After having braces on the teeth, this feeling is often patients’ favorite part — it makes your teeth feel incredibly clean and silky smooth!
Step 4: Scan for Retainers, Final Photos, Final Esthetic Enhancements
We finish up by getting your final scan for retainers to protect your result, and final photos to document how far you’ve come! We’ll examine your esthetic result together and marvel at your beauty ;).
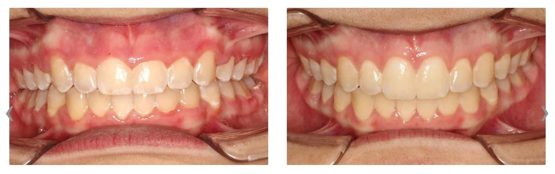
In another post we’ll discuss how small esthetic enhancements can take your smile from “great” to “WOW!”, at no extra cost to you. Painless procedures such as enameloplasty and esthetic gingival contouring can make all the difference (example in the photo below! The left photos are braces-off day, and the right photos are after enameloplasty and esthetic gingival contouring)
Can You Get Braces Glue Off Teeth at Home?
Do NOT believe everything you see on TikTok! Please don’t try to take your braces off at home, this is not safe - your orthodontic adhesive must be removed professionally.
At-home scraping or grinding can cause:
Enamel damage
Permanent scratches
Increased sensitivity
Risk of tooth injury
Any “DIY” method you’ll find online — including nail files, abrasive toothpaste, etc — is unsafe and ineffective. The only safe and complete solution is orthodontic adhesive removal in a professional setting. As Dr. Danielle Godley, a reliable orthodontist in Zionsville, IN, points out, if you value your teeth, this is something you should leave to the professionals!
Why Our Westfield Orthodontic Practice Prioritizes a Beautiful Finish
We say all the time, we are a RESULTS-DRIVEN PRACTICE! The braces-off day is just the final celebratory event after our relentless pursuit of your very best smile. We don’t want good smiles, we want WOW smiles! Dr. Titus’ meticulous approach to smile design will ensure that we won’t stop until you love your smile. At our private practice in Westfield, IN, we believe the braces removal process is more than a routine clinical procedure — it’s the final artistic step in revealing your new smile. Our commitment to personal, intentional care means we take time to:
Get all your final details perfect
Provide a comfortable experience
Answer all your questions
Celebrate your new smile with you!
Your finished smile will feel clean and look radiant the moment you leave the office.
Final Thoughts
If you’re looking for how to get braces glue off teeth in Westfield, IN, the best approach is a professional one. Braces removal is a comfortable, exciting milestone — and adhesive polishing is the key to finishing your smile beautifully.
We love helping our patients achieve their smile dreams - this is our fuel, and we can’t get enough of it! If you’re ready for the next step in your smile journey, we’re here to guide you every step of the way with unmatched care and service.
Ready to reveal your best smile?
Schedule your braces removal or polishing appointment today and let our Westfield orthodontic team provide the beautiful, esthetic finish your smile deserves!

